UNG THƯ TUYẾN GIÁP TÍP NANG VÀ NHỮNG ĐIỀU CẦN BIẾT
Hiện nay ngày càng gia tăng số lượng bệnh nhân mắc ung thư tuyến giáp nguyên nhân chủ yếu :
Thứ nhất: Do nhận thức người dân được nâng cao, họ quan tâm sức khỏe và chủ động đi kiểm tra định kỳ.
Thứ hai: Do việc áp dụng rộng rãi các phương pháp chẩn đoán như siêu âm, chọc hút tế bào kim nhỏ ở các cơ sở y tế trong và ngoài công lập.
Ung thư tuyến giáp thường gặp nhất thuộc 4 nhóm sau.
– Ung thư tuyến giáp típ nhú
– Ung thư tuyến giáp típ nang
– Ung thư tuyến giáp típ tủy
– Ung thư tuyến giáp típ không biệt hóa
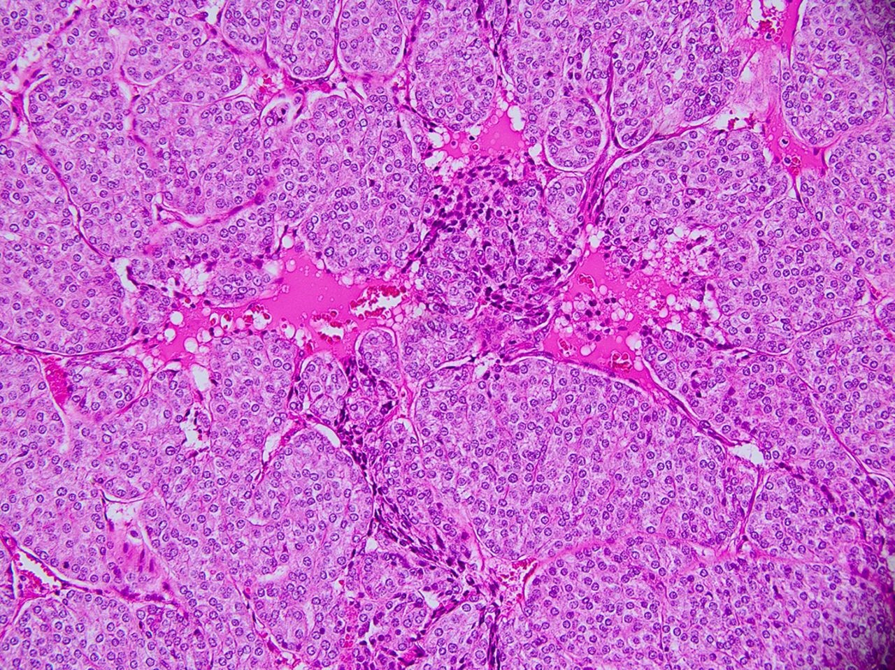
Vậy ung thư tuyến giáp típ nang là gì: Là một dạng ung thư khác biệt do sự tương đồng mô học với mô giáp lành tính và do chức năng khác biệt được bảo tổn.
Ung thư tuyến giáp thể nang bao gồm cả biến thể của nó là tế bào Hurthle thường gặp ở bệnh nhân lớn tuổi và các vùng thiếu i ốt. Thể này thường ác tính hơn ung thư giáp thể nhú, thường theo mạch máu và di căn xa đến xương và phổi.

Việc chẩn đoán ung thư tuyến giáp típ nang không thể phát hiện thông qua xét nghiệm chọc hút tế bào kim nhỏ (FNA) thông thường mà chỉ được phát hiện khi phẫu thuật bóc khối u xét nghiệm mô bệnh học.

Với việc xét nghiệm chọc hút bằng kim nhỏ chỉ hướng đến U tân sản thể nang (Được xếp vào nhóm IV của hệ thộng Bethesda ) các bác sỹ lâm sàng cần kết hợp thêm kết quả của các xét nghiệm như T3, FT4, TSH, Anti TPO, Antin TG…, kết quả chuẩn đoán hình ảnh như siêu âm, chụp xạ hình… để quyết định hướng điều trị cho bệnh nhân .
Thông thường khi có kết quả nghi ngờ U thể nang sẽ phẫu thuật cắt bán thùy hoặc một thùy hoặc toàn bộ tuyến giáp.
Hiện này tại Bệnh Viên Đa Khoa Hồng Hà hằng năm bệnh viện đã phát hiện hàng trăm bệnh nhân nghi ngờ và đưa ra hướng xử trí tốt nhất cho bệnh nhân, nhằm hạn chế những rủi ro trong quá trình điều trị.
Bệnh Viện Đa Khoa Hồng Hà vẫn luôn là lựa chọn hàng đầu cho bệnh khám và sàng lọc các bệnh lý tuyến giáp.
Hoàng Trọng Song
Khoa Xét nghiệm – Bệnh viện Đa khoa Hồng Hà

Một số bài viết khác:
Danh sách người thực hành khám bệnh, chữa bệnh tháng 12 năm 2025
LAN TỎA NIỀM TIN – GỬI TRỌN LỜI CẢM ƠN
HỘI THẢO KHOA HỌC CẬP NHẬT NHỮNG CÔNG NGHỆ MỚI TRONG CHẨN ĐOÁN HÌNH ẢNH
Chuyên gia Tim mạch hàng đầu BVTW Huế về Làm việc tại Hồng Hà
Nha khoa Hồng Hà tự hào đồng hành cùng Trường TH&THCS Thuận Lộc
HỒNG HÀ LAN TỎA YÊU THƯƠNG – TRAO TẶNG SỨC KHỎE CHO CỘNG ĐỒNG