Sinh Thiết Mô Bệnh Học Bệnh Phẩm Dạ Dày

Sinh Thiết Mô Bệnh Học Bệnh Phẩm Dạ Dày

Sinh thiết dạ dày là gì? Là kĩ thuật mà bác sỹ nội soi sẽ dùng kìm bấm mẫu ở những vùng khác nhau ở tổn thương dạ dày làm xét nghiệm mô bệnh học và đọc dưới kính hiển vi.

Sinh thiết dạ dày thường được làm cùng lúc với nội soi dạ dày.  Khi nội soi dạ dày thấy những tổn thương bất thường nghi ngờ bác sỹ sẽ lấy mẫu ở những vùng đấy gửi đi xét nghiệm thông qua ống nội soi được gắn camera. Việc hình ảnh từ camera được truyền trực tiếp lên màn hình bác sỹ sẽ quan sát được chính xác các vùng tổn thương từ đó có thể lấy mẫu chính xác.

Sinh Thiết Mô Bệnh Học Bệnh Phẩm Dạ Dày
Sinh Thiết Mô Bệnh Học Bệnh Phẩm Dạ Dày

Những lúc nào bệnh nhân nên đi nội soi dạ dày và thực hiện bấm mẫu sinh thiết:

Khi bệnh nhân có các triệu chứng sau:

+ Đau bụng vùng thượng vị.

+ Buồn nôn, nôn.

+ Mất cảm giác ngon miệng, ợ hơi ợ chua, cảm giác nóng rát vùng thượng vị.

+ Đi ngoài phân đen.

Khi bệnh nhân có những triệu chứng như trên cần đến bệnh viện để được bác sỹ thăm khám và nội soi dạ dày, trong quá trình soi nếu có tổn thương cần sinh thiết để xét nghiệm bác sỹ nội soi sẽ thực hiện sinh thiết ngay trong khi nội soi.

Những rủi ro có thể xảy ra khi thực hiện sinh thiết:

+ Chảy máu.

+ Thủng thực quản, dạ dày, trực tràng.

Ngay sau khi thực hiện sinh thiết bệnh phẩm sẻ được ngâm vào hóa chất bảo quản và gửi trực tiếp vào khoa Giải phẫu bệnh của bệnh viện đại học y dược Huế, và được trực tiếp các bác sỹ, kỹ thuật viên của bệnh viện thực hiện việc chẩn đoán.

Bệnh viện đa khoa hồng hà liên kết với các giáo sư đầu ngành về giải phẫu bệnh của bệnh viện y dược Huế. Mẫu gửi vào được trược tiếp PGS.TS: Đặng Công Thuận trưởng khoa giải phẫu bệnh, giảng viên cao cấp trường đại học y dược Huế và Th.s Ngô Cao Sách trực tiếp xử lý và đọc kết quả.

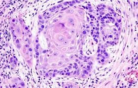
Hình ảnh ung thư dạ dày dưới kính hiển vi sau khi mẫu sinh thiết được xử lý
Hình ảnh ung thư dạ dày dưới kính hiển vi sau khi mẫu sinh thiết được xử lý

Hiện nay tại Bệnh viện đa khoa Hồng Hà đã triển khai kĩ thuật sinh thiết bệnh phẩm dạ dày qua nội soi, với đội ngũ bác sỹ, kĩ thuật viên có nhiều kinh nghiệm và trình độ chuyên môn cao, là địa chỉ uy tín trên địa bàn để bệnh nhân lựa chọn.

Liên hệ ngay Hotline 02393.577.678 để được tư vấn các phương pháp thăm khám phù hợp nhất với bạn.
—————————–
Khi cần dịch vụ y tế hãy liên hệ:
Bệnh Viện Đa Khoa Hồng Hà Hà Tĩnh
Địa chỉ: Số 46, Đ.Phan Kính, P.Nam Hồng, TX.Hồng Lĩnh, T.Hà Tĩnh
Tổng đài CSKH: 0239 3577 678
Website: benhviendakhoahongha.vn

Hoàng Trọng Song

Xét nghiệm Hồng Hà

Trả lời

Email của bạn sẽ không được hiển thị công khai. Các trường bắt buộc được đánh dấu *